Legionnaires' disease behind mysterious illness that sickened 11, killed four in Argentina
Agencies | Buenos Aires
The Daily Tribune – www.newsofbahrain.com
A mystery outbreak in Argentina that affected 11 persons and killed four has been solved. According to health officials, the illness was most likely caused by Legionella, the bacteria that causes Legionnaires' disease.
The outbreak has been restricted to a health centre in San Miguel de Tucumán, the provincial capital located 670 kilometres northwest of Buenos Aires. During a press conference on Sunday, Minister of Health Carla Vizzotti stated that four samples from the deceased individuals tested positive for the bacterium, including blood, respiratory, and tissue samples.
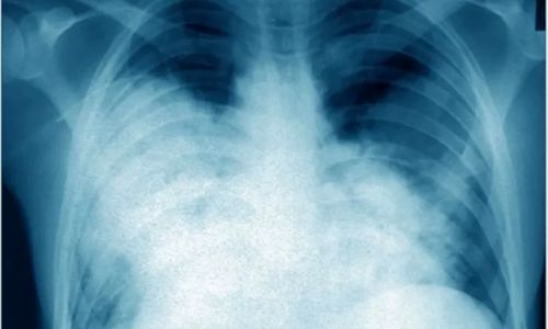
"The Legionella bacterium's genome was discovered," she informed reporters. "The most likely pathogen is Legionella pneumophila."However, she stated that the results are preliminary and that additional testing is being carried out. Legionnaires' disease is a severe form of pneumonia caused by inhaling Legionella bacteria in minute droplets of water or accidentally swallowing Legionella-contaminated water.
Although the condition is not communicable, outbreaks can occur if germs enter a building's water supply, such as shower heads, sink faucets, hot water tanks, heaters, and other plumbing systems.
Although most people recover from Legionnaires' disease with antibiotics, certain patients, notably those who are immunocompromised or have chronic lung illnesses, can develop deadly consequences. According to the World Health Organization, the instances arose between August 18 and August 25, with patients complaining of fever, muscle aches, abdomen pain, and difficulty breathing, in addition to pneumonia symptoms. Eight of the 11 cases were clinic employees, while three involved patients. Three of the four deaths happened among health staff. According to the WHO, the median age of the cases is 45, with seven males. Ten persons, including the four fatalities, had underlying illnesses that put them at risk for serious disease.
Related Posts
